Most cases of fluorosis are mild and do not need treatment. In more severe cases, whitening of the teeth, veneers, or other cosmetic dentistry techniques can be used to correct any permanent discoloration. Once a child reaches the age of 8 they are no longer at risk for developing fluorosis.

Does fluorosis go away?

Why? That is the period when permanent teeth are still developing under the gums. For kids, fluorosis can cause significant embarrassment and anxiety about the appearance of their teeth. No matter how much they might brush and floss, the fluorosis stains do not go away.

Can dental fluorosis be reversed?

Once your child experiences dental fluorosis, it cannot be reversed. However, your dentist can offer treatment options that reduce the affected appearance of your child’s teeth. Remember, however, that fluorosis won’t increase your child’s chances of getting cavities.

How do I get rid of fluorosis on my teeth?

  1. Enamel Microabrasion. This procedure involves your dentist removing a small amount of natural enamel from your teeth to make the white spots less noticeable. …
  2. Teeth Whitening. …
  3. Porcelain Veneers. …
  4. Dental Bonding.

How do you get rid of dental fluorosis naturally?

Vinegar contains acidic properties that can be an effective way to get rid of white spots from teeth. All you have to do is mix some vinegar and baking soda to make a thick paste. Using this paste while brushing your teeth works well. You can do this once in a week for better results.

Can you rebuild tooth enamel?

Once tooth enamel is damaged, it cannot be brought back. However, weakened enamel can be restored to some degree by improving its mineral content. Although toothpastes and mouthwashes can never “rebuild” teeth, they can contribute to this remineralization process.

Does fluorosis weaken teeth?

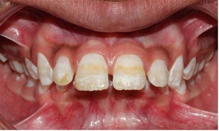
Dental fluorosis is a slight change in the look of the teeth, usually in the form of very faint white markings. It normally does not affect the function of the teeth or cause pain.

How can I Remineralize my teeth?

  1. Increase Saliva Production. One of the most effective ways to repair tooth enamel is to maximize the amount of saliva you produce. …
  2. Drink More Water. …
  3. Use a Toothpaste Designed for the Job. …
  4. Chew Sugar-Free Gum. …
  5. Eat a Remineralization Diet. …
  6. Dodge Acidic Drinks.

What age does fluorosis occur?

Occurrence: Dental fluorosis occurs while the permanent teeth are developing, before they have erupted. The greatest risk is from birth to 8, particularly between 15 and 30 months. Fluoride intake after the age of 8 cannot cause fluorosis.

Is fluorosis irreversible?

The toxic effects of fluorosis take three forms: clinical, skeletal and dental. Research thus far indicates that the manifestations of fluorosis are irreversible.

Article first time published on

How can I get fluoride on my teeth?

  1. Brush with fluoride toothpaste.
  2. Swish with fluoride mouthwash.
  3. Request fluoride treatment at your next dental visit.
  4. Drink water from the tap.
  5. Chew fluoride supplements.
  6. Install a reverse osmosis water filter.
  7. Drink bottled or distilled water.
  8. Don’t stop brushing!

Which teeth are most affected by fluorosis?

Maxillary teeth are more commonly affected than homologous mandibular teeth and maxillary central incisors are found to be the most commonly affected teeth, whereas first molars are the least commonly affected.

What does a fluoride treatment do?

Fluoride helps prevent tooth decay by making the tooth more resistant to acid attacks from plaque bacteria and sugars in the mouth. It also reverses early decay.

How do I get rid of the white lines on my teeth?

  1. Enamel microabrasion. Some people may be able to have microabrasion done to treat their white spots. …
  2. Teeth whitening or bleaching. Whitening or bleaching teeth can help to reduce the appearance of white spots and other stains. …
  3. Dental veneer. …
  4. Topical fluoride. …
  5. Composite resin.

How common is fluorosis?

The prevalence of very mild fluorosis increased from 17.2% to 28.5% and mild fluorosis increased from 4.1% to 8.6%. The prevalence of moderate and severe fluorosis increased from 1.3% to 3.6%.

What happens to teeth with too much fluoride?

While low levels of fluoride help strengthen and protect tooth enamel, too much fluoride can cause dental fluorosis—a discoloration of teeth, usually with opaque white marks, lines, or mottled enamel and poor mineralization.

How do you know if you have too much fluoride?

Whereas low fluoride doses strengthen and protect the tooth enamel, it is important to note that excessive fluoride levels can cause health issues such as fluorosis. Dental fluorosis causes discoloration of the teeth, the formation of white marks on the teeth, a mottled enamel, and low mineralization.

Can teeth grow back in old age?

Fortunately, they might not be necessary in the future. New research shows that regrowing teeth is possible. More studies and testing still need to be conducted, but this development could change dental care in the coming years.

Can a tooth grow back a third time?

Humans only get two sets of teeth in their lifetime: 20 primary (baby) teeth and 32 secondary (permanent) teeth. If you lose any of your secondary teeth, your teeth will not grow back a third time.

Why are my teeth becoming clear?

Transparent teeth are just one sign of enamel erosion, which is caused by: Acidic foods and drinks. Consuming highly acidic foods and beverages regularly may speed up enamel erosion, leading to transparent teeth.

What is the most recommended brushing technique?

  • Place your toothbrush at a 45-degree angle to the gums.
  • Gently move the brush back and forth in short (tooth-wide) strokes.
  • Brush the outer surfaces, the inner surfaces, and the chewing surfaces of the teeth.

Can coconut oil restore tooth enamel?

First, coconut oil pulling doesn’t help out in the plaque or cavity department. Next, not only is coconut oil unable to regrow your teeth, nothing can. And lastly, the key to healthy teeth and enamel is proper oral care.

Can you reverse cavities naturally?

Fortunately, the beginning stages of a cavity can be reversed by taking steps toward good oral hygiene. During early demineralization, exposure to fluoride, daily brushing and flossing, and regular cleanings can all help prevent — or even reverse — tooth decay.

What foods reverse tooth decay?

Foods That Reverse Cavities Good sources of fiber are dried fruits such as dates, raisins and figs, and fresh fruits, like bananas, apples, and oranges. Other options include veggies, such as beans, brussels sprouts, and peas, along with peanuts, almonds, and bran. Calcium has long been known to benefit dental health.

Is mild fluorosis reversible?

In many cases, fluorosis is so mild that no treatment is needed. Or, it may only affect the back teeth where it can’t be seen. The appearance of teeth affected by moderate-to-severe fluorosis can be significantly improved by a variety of techniques.

Does fluorosis cause decay?

Dental fluorosis occurs when children between birth and around nine years of age are exposed to high levels fluoride during this critical window when their teeth are forming, and can actually increase their risk of tooth decay.

Is the fluoride treatment worth it?

Yes! Not only does fluoride prevent decay, it can also reduce root hypersensitivity such as cold sensitivity and sensitivity during dental cleanings, which can be common with gum recession.

Is toothpaste a fluoride?

Most toothpastes now contain fluoride, and most people get their fluoride this way. Fluoride toothpaste is very effective in preventing tooth decay. The amount of fluoride in toothpaste is usually enough to reduce decay. In areas where the water supply has fluoride added, fluoride toothpaste gives extra protection.

Are you not supposed to rinse after brushing your teeth?

After brushing, spit out any excess toothpaste. Don’t rinse your mouth immediately after brushing, as it’ll wash away the concentrated fluoride in the remaining toothpaste. This dilutes it and reduces its preventative effects.

What country is fluorosis most common?

FoodMilligrams per ServingCarrots, raw, 1 medium0.00Peanut butter, 1 tbsp0.00

How long does fluoride Last teeth?

The fluoride treatment comes mostly in the form of varnish that is applied to the teeth and sticks to the teeth for a period of four to six hours before been washed away by brushing. However, during this time, the fluoride will have been absorbed into the teeth enamel and offer permanent protection for the meantime.